Все материалы

3D-моделирование в лечении челюстно-лицевых патологий: новый уровень точности и предсказуемости

Современную ортодонтию и челюстно-лицевую хирургию уже невозможно представить без цифровых технологий. Особенно это важно для пациентов с врожденными патологиями, например, расщелиной губы и неба, синдромом Пьера Робена или Крузона.

О возможностях 3D-моделирования в планировании лечения, расчете его до мельчайших деталей и достижении максимально предсказуемого результата расскажет Ольга Таймуразовна Зангиева, врач-ортодонт, доктор медицинских наук, доцент кафедры челюстно-лицевой хирургии и стоматологии Института усовершенствования врачей ФГБУ «НМХЦ им. Н.И. Пирогова» Минздрава России, генеральный директор клиники «Арктика».

От ручной хирургии к цифровому планированию

Еще 15 лет назад врачи лечили пациентов, используя в основном компромиссные варианты. Хирургические методы применялись редко: специалистов в этой области было немного, а моделирование операций проводилось вручную – с помощью гипсовых моделей. Такие подходы не давали нужной точности, и результаты не всегда соответствовали ожиданиям.

Ситуация изменилась, когда в арсенале врачей появились цифровые технологии. В 2014 году в клинике «Арктика» мы начали использовать программу Dolphin Imaging – медицинский инструмент, одобренный FDA (Управлением по контролю за продуктами и лекарствами США). Эта программа позволяет планировать операции как в 2D, так и в 3D-формате, прогнозировать результаты и объединять этапы ортодонтического и хирургического лечения.

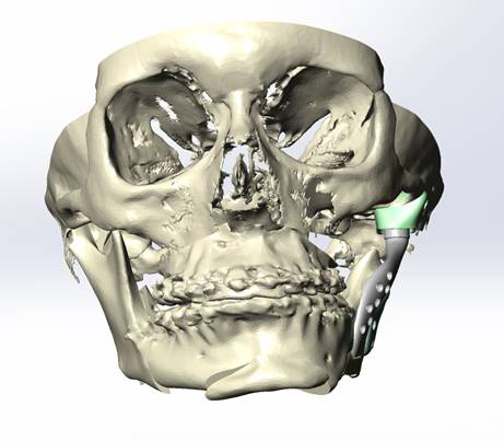
Сегодня проведение сложных операций, например, ортогнатических вмешательств (перемещения челюстей для коррекции прикуса и положения костей) невозможно без 3D-моделирования. Особенно это касается случаев, когда одновременно проводится эндопротезирование височно-нижнечелюстного сустава. Такие операции технически крайне сложны, и даже с цифровыми технологиями они требуют высочайшей точности и командной работы хирургов и ортодонтов.

3D-моделирование позволяет заранее спланировать перемещения челюстей, определить будущий прикус, увидеть соотношение зубов и костей, а также спрогнозировать изменения внешности и мягких тканей.

3D-моделирование в лечении челюстно-лицевых патологий

Как создается 3D-модель пациента

Чтобы создать полную трёхмерную модель, врач получает комплекс данных:

  • фотопротокол пациента в привычном положении головы (так называемое natural head position) и других позициях;
  • компьютерная томография (КТ или МСКТ);
  • сканирование зубных рядов внутриротовым сканером 3Shape или, при необходимости, оттиски и их последующее сканирование.

Все эти данные объединяются в одной цифровой модели, где видны и кости, и зубы, и мягкие ткани. Если есть возможность, проводится также 3D-фотосъемка лица, что позволяет проследить, как изменится профиль и форма лица после операции. При отсутствии такой возможности скан лица извлекается из компьютерной томограммы, он отображает контур кожи.

Ортодонтическая подготовка к хирургии требует точного понимания положения зубов, их наклонов и ширины челюстей. Врач выстраивает зубные ряды в том положении, которое будет оптимальным после операции. В программе можно вносить изменения в наклон зубов, положение костей и визуально оценивать, насколько гармоничным будет результат.

3D-моделирование в лечении челюстно-лицевых патологий

Возможности для пациентов с врожденными пороками

3D-моделирование позволяет не только видеть анатомию, но и оценивать просвет воздухоносных путей. Это особенно важно для пациентов с нарушениями дыхания или синдромальными особенностями строения черепа. Например, при синдроме Крузона врачи моделируют операцию так, чтобы увеличить просвет верхних дыхательных путей и восстановить нормальное дыхание.

При врожденных расщелинах губы и неба, а также при синдроме Пьера Робена 3D-моделирование значительно расширяет возможности хирургов. Оно помогает точно определить положение челюстных фрагментов и планировать их перемещение с учетом индивидуальных анатомических особенностей.

Иногда хирургия требует компромиссов: например, при выраженных рубцовых изменениях сблизить костные фрагменты полностью невозможно, но можно добиться устойчивого результата. Главное – стабильность, анатомическая и функциональная. Если рецидив менее 10% в течение двух лет, можно говорить об успешном лечении.

По данным исследований, проведенных нашей командой, совпадение запланированных и фактически полученных перемещений достигает 85%, что считается очень высоким показателем даже по мировым стандартам.

3D-моделирование в лечении челюстно-лицевых патологий

Трудности и риски

3D-моделирование требует качественной подготовки на всех этапах. Если ортодонтическое лечение проведено неправильно, даже идеальная модель не даст хороший результат. Ошибки могут возникать и при переносе данных между разными программами, особенно если одновременно изготавливаются эндопротезы или дополнительные конструкции.

Кроме того, у некоторых пациентов (например, с ограничением открывания рта или потерей зубов) спрогнозировать идеальное положение челюстей бывает сложно. В таких случаях 3D-модель помогает избежать ошибок и предусмотреть необходимость повторной операции.

Следующий шаг в развитии технологий – сочетание 3D-моделирования с 3D-печатью. Сегодня у нас уже применяются индивидуальные титановые эндопротезы суставной головки нижней челюсти и суставной ямки. Печать таких конструкций требует высокой точности и учета биомеханики движений, чтобы восстановить функции жевания и речи максимально естественно.

3D-моделирование в лечении челюстно-лицевых патологий

Обучение врачей и развитие технологий

3D-моделирование невозможно без командной работы. Ортодонты должны понимать хирургические аспекты, а хирурги – ортодонтические. Таких специалистов пока немного, поэтому обучение имеет ключевое значение. На базе Пироговского центра проводятся специализированные курсы по 3D-моделированию хирургических операций для ортодонтов и хирургов.

Создание отечественных цифровых программ – еще одна важная задача. Сегодня большинство решений, включая Dolphin Imaging, разработаны за рубежом, а российские аналоги пока находятся на стадии разработки. Они требуют больших финансовых инвестиций на всех этапах от идеи до запуска в работу.

Ближайшие перспективы отрасли – в области биотехнологий и сочетания биологических структур с титановыми элементами. То, что еще недавно казалось фантастикой, уже становится частью современной медицины. 3D-моделирование делает лечение точнее, безопаснее и предсказуемее.

Для пациентов с врожденными челюстно-лицевыми аномалиями – это верный путь к уверенной улыбке и новой жизни без боли и ограничений.

3D-моделирование в лечении челюстно-лицевых патологий
Логотип БФ Звезда Милосердия

Благотворительный фонд помощи

Фонд «Звезда Милосердия» - российская благотворительная организация, развивающая открытое сообщество родителей детей с врожденной расщелиной верхней губы и нёба. Наша миссия – улучшить качество оказываемой медицинской помощи, внедрить комплексное сопровождение пациентов с расщелиной в практику медицинских учреждений.

Узнать больше

Вы можете просмотреть еще 3 материала.

Зарегистрируйтесь или , чтобы получить неограниченный доступ ко всем материалам портала.